X-Ray Device
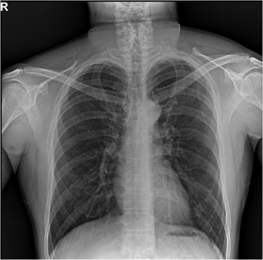
[INQ. NO. 2507M35] Dexcowin is pioneering the future of portable X-rays with the introduction of the ADX6000FB, a lightweight, video camera-shaped X-ray device designed to revolutionize diagnostic procedures across multiple fields. This cutting-edge system meets the growing demand for convenient, immediate, and safe X-ray imaging, surpassing the limitations of traditional X-ray equipment.
The ADX6000FB enables chest imaging with only 1/20th the radiation dose of conventional X-rays, ensuring safety for both patients and medical staff. It requires no shielding facility, allowing significant savings in space and cost. Its detachable, rechargeable battery makes it ideal for use in remote or field settings where stable power supply is limited.

Beyond the medical field, the ADX6000FB offers significant advantages in veterinary medicine. Transporting animals—especially large ones like horses—to a hospital X-ray room can be extremely challenging. However, the ADX6000FB enables on-site diagnostics, allowing veterinarians to quickly assess conditions without logistical complications.
In forensics, X-ray imaging is crucial for identifying foreign objects, traumatic alterations, and even deceased individuals. ADX6000FB’s portability eliminates the need for dedicated X-ray rooms, streamlining the diagnostic process for forensic professionals.

Weighing less than 8lbs, the ADX6000FB is highly portable and can accelerate radiographic procedures by up to twice the speed, significantly reducing operation time. It features advanced radiation safety mechanisms, including internal lead shielding to block leakage radiation and a backscatter shield that protects users from secondary exposure. The device can also be operated using a stand-mounted remote switch, and its intuitive graphical user interface (GUI) ensures ease of use. In addition, the high-capacity lithium-ion battery fully charges in just two hours and supports up to 150 exposures per charge. With its exceptional efficiency, safety, and versatility, the ADX6000FB is poised to redefine the standard for portable X-ray diagnostics.
Established in 2004, Dexcowin has been a trailblazer in the diagnostic-imaging industry, introducing the groundbreaking concept of portable X-ray systems.
With a vast global network spanning over 40 countries across America, Asia, the Middle East, and Africa, the company has established a strong presence in the market. It has become a leading competitor, consistently ranking among the top-two in countries such as the United States, Japan, Russia, and Vietnam.

korean-machinery.com | Blog Magazine of korean-machinery, brands and Goods




Leave a comment